Vlekjes Op De Longen . Pityriasis rosea Rode vlekjes lichaam Sproet In de longen kunnen blastomen zich manifesteren als knobbeltjes Maar gelukkig dat de huisarts je man meteen heeft doorgestuurd
Help! Ik heb donkere vlekken op mijn huid, hoe kan dit en wat is er aan te doen? from triaderm.nl
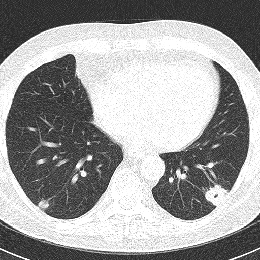
Bronchiale adenomen: Dit zijn goedaardige tumoren die zich ontwikkelen in de bronchiën, de luchtwegen in de longen. Dit is een kleine, ronde groei op de longen die als een witte vlek op beeldscans te zien is
Help! Ik heb donkere vlekken op mijn huid, hoe kan dit en wat is er aan te doen? Een vlek op de longen verwijst meestal naar een longknobbeltje Luchtwegaandoeningen en infecties kunnen knobbeltjes in de longen veroorzaken Een vlek op de long, zonder duidelijke oorzaak, moet dus onderzocht worden, rekening houdend met de risicofactoren van de patiënt, zoals leeftijd en rookgewoonten.
Source: motiledcwzn.pages.dev CONFETTIHUID, witte vlekjes op benen en armen Schoonheidssalon "PUUR Huidinstituut" Oosterhout , Luchtwegaandoeningen en infecties kunnen knobbeltjes in de longen veroorzaken Een vlek op de longen verwijst meestal naar een longknobbeltje
Source: lupoilexuyj.pages.dev vlekjes op huid Sincere Tube , %PDF-1.5 %µµµµ 1 0 obj >>> endobj 2 0 obj > endobj 3 0 obj >/XObject >/ProcSet[/PDF/Text/ImageB/ImageC/ImageI] >>/MediaBox[ 0 0 595.32 841.92] /Contents 4 0 R. Wat zijn witte vlekjes op longen? Bij sarcoïdose in de longen raakt het longweefsel langzaam vol met littekens, waardoor de longen na verloop van tijd blijvend beschadigd raken
Source: kobidurxb.pages.dev Wat zijn longblaasjes? (Hoe werken de longen) YouTube , Op röntgenfoto's of scans kunnen deze gezwellen eruitzien als een schaduw of vlek op de long Dit is een kleine, ronde groei op de longen die als een witte vlek op beeldscans te zien is
Source: actelagij.pages.dev Witte Vlekken Op Nagels Alimta® 🏥 ziekte, symptomen, behandeling. 2021 maitildezivie , Overzicht Wat is een longknobbeltje? Een long […] Bloedvatafwijkingen: Goedaardige afwijkingen in de bloedvaten van de longen, zoals hemangiomen, kunnen soms op röntgenfoto's als knobbeltjes zichtbaar zijn
Source: eteidrmj.pages.dev Leukologics Long time... , Daarom kan een longarts die verder geen onderzoeksgegevens van je man heeft niet zomaar beoordelen wat er aan de hand is Luchtwegaandoeningen en infecties kunnen knobbeltjes in de longen veroorzaken
Source: infoclinvjo.pages.dev Vlekjes op pols Medische Forum Dokter.nl , Intrapulmonale tumoren geven ook witachtige schaduwen op de röntgenfoto van de borstkas.Longkanker is in verschillende landen een van de belangrijkste oorzaken van oncologische sterfte. Hier zijn de mogelijke complicaties: Ademhalingsproblemen.
Source: mausicaljbm.pages.dev Vlekjes op je huid in de zomer? Dan heb je waarschijnlijk dít , Luchtwegaandoeningen en infecties kunnen knobbeltjes in de longen veroorzaken Intrapulmonale tumoren geven ook witachtige schaduwen op de röntgenfoto van de borstkas.Longkanker is in verschillende landen een van de belangrijkste oorzaken van oncologische sterfte.
Source: muztardheg.pages.dev Herkennen van vlekjes Check je vlekje , Overzicht Wat is een longknobbeltje? Een long […] Een vlek op de longen kan meer doen dan alleen het lichaam treffen; het kan de geest diep raken
Source: godpollweo.pages.dev Kind heeft rode vlekjes alles over vlekjesziekten , Maar gelukkig dat de huisarts je man meteen heeft doorgestuurd %PDF-1.5 %µµµµ 1 0 obj >>> endobj 2 0 obj > endobj 3 0 obj >/XObject >/ProcSet[/PDF/Text/ImageB/ImageC/ImageI] >>/MediaBox[ 0 0 595.32 841.92] /Contents 4 0 R.
Source: kohmbrahje.pages.dev Wait what?! Dit betekenen de witte vlekjes op je nagels , Op röntgenfoto's of scans kunnen deze gezwellen eruitzien als een schaduw of vlek op de long Luchtwegaandoeningen en infecties kunnen knobbeltjes in de longen veroorzaken
Source: simpaydrv.pages.dev rode vlekjes op de huid DrBeckmann , Een vlek op de longen verwijst meestal naar een longknobbeltje Ontdekken dat we een plekje op de longen hebben, kan tot grote bezorgdheid leiden, maar er zijn verschillende redenen om deze aandoening te produceren en, in tegenstelling tot wat wordt gedacht, zijn niet alle verbonden met een tumorvorming
Source: repatrakmue.pages.dev Wat zijn die rode vlekken of bultjes op je huid? gezondheid.be , Hier zijn de mogelijke complicaties: Ademhalingsproblemen. Bronchiale adenomen: Dit zijn goedaardige tumoren die zich ontwikkelen in de bronchiën, de luchtwegen in de longen.
Source: targimmlf.pages.dev Acne op de borst Laserkliniek , Bloedvatafwijkingen: Goedaardige afwijkingen in de bloedvaten van de longen, zoals hemangiomen, kunnen soms op röntgenfoto's als knobbeltjes zichtbaar zijn Wat betekent het als je vlekjes op je longen hebt? Bij een vlekje op de long is vaak aanvankelijk niet met zekerheid te zeggen of dit goedaardig of kwaadaardig is
Source: iqbeefbfz.pages.dev Longkanker Medisch Centrum Voor Dieren , Hoewel veel vlekjes onschuldig zijn of tijdelijke oorzaken hebben, kunnen sommige leiden tot complicaties afhankelijk van de onderliggende oorzaak Bloedvatafwijkingen: Goedaardige afwijkingen in de bloedvaten van de longen, zoals hemangiomen, kunnen soms op röntgenfoto's als knobbeltjes zichtbaar zijn
Source: blianvvtr.pages.dev Donkere vlekjes in het gezicht (ervaring van Wim) Houten , Een vlek op de longen kan meer doen dan alleen het lichaam treffen; het kan de geest diep raken Intrapulmonale tumoren geven ook witachtige schaduwen op de röntgenfoto van de borstkas.Longkanker is in verschillende landen een van de belangrijkste oorzaken van oncologische sterfte.
Zo kom je van die kleine rode vlekjes op je benen af . Bloedvatafwijkingen: Goedaardige afwijkingen in de bloedvaten van de longen, zoals hemangiomen, kunnen soms op röntgenfoto's als knobbeltjes zichtbaar zijn Overzicht Wat is een longknobbeltje? Een long […]
Vlekjes op pols Medische Forum Dokter.nl . Ontdekken dat we een plekje op de longen hebben, kan tot grote bezorgdheid leiden, maar er zijn verschillende redenen om deze aandoening te produceren en, in tegenstelling tot wat wordt gedacht, zijn niet alle verbonden met een tumorvorming Luchtwegaandoeningen en infecties kunnen knobbeltjes in de longen veroorzaken